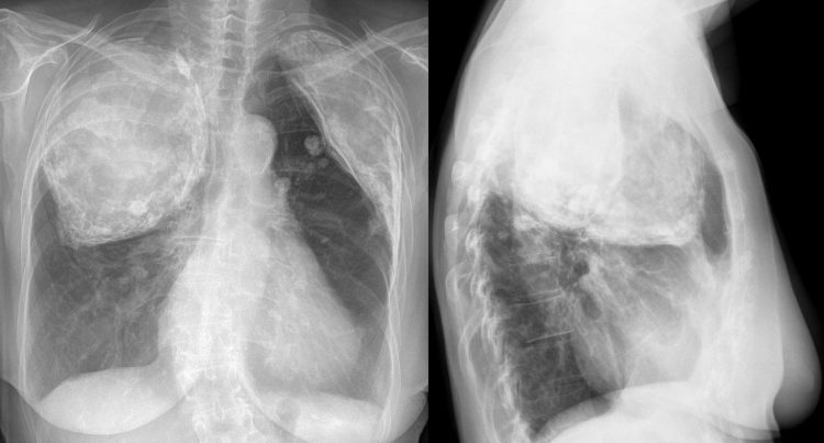
Numărul cazurilor de tuberculoză în judeţul Maramureş a înregistrat o uşoară creştere în ultimii trei ani, a informat, vineri, directorul Spitalului de Pneumoftiziologie (TBC) Baia Mare, Rareş Pop.
„În perioada 2020-2021 am înregistrat o creştere a numărului de cazuri, o reactivare a unor cazuri mai vechi sau o reacutizare a altora. Undeva la 40% de cazuri noi se află în monitorizare (…) La tuberculoza la copii, de exemplu, dacă în 2021 aveam un caz, acum avem 3. Acestea sunt cazuri de focare ce provin din familie”, a spus Rareş Pop.
Conform acestuia, pacienţii care nu pot ajunge la spital pentru a urma un tratament adecvat vor putea fi vizitaţi la domiciliu de o echipă mobilă trimisă de spital.
„Judeţul Maramureş a intrat într-un nou program de tuberculoză, care va însemna o deplasare în teritoriu a colegilor mei, inclusiv cu un aparat de radiologie mobilă, pentru a veni mult mai aproape de nevoile pacienţilor”, a detaliat Rareş Pop.
Directorului Spitalului de Pneumoftiziologie (TBC) a mai arătat că cele mai multe cazuri de tuberculoză înregistrate provin din localităţile Vişeu, Poienile de sub Munte şi Ruscova, unde pacienţii au evitat să se adreseze medicilor din cauza apariţiei coronavirusului.








– Servicii de creare site web
